2. 上海海洋大学 食品学院, 上海 201306;
3. 上海美加净日化有限公司, 上海 200333;
4. 上海海洋大学 海洋科学研究院, 上海 201306
2. College of Food Science and Technology, Shanghai Ocean University, Shanghai 201306, China;
3. Shanghai MAXAM Company Limited, Shanghai 200333, China;
4. Institute of Marine Science, Shanghai Ocean University, Shanghai 201306, China
牙周炎是微生物感染引起的牙龈、牙周膜、牙槽骨和牙骨质等牙齿支持组织的非特异性慢性炎性反应[1], 其主要特征为牙龈红肿, 牙龈组织松软易出血, 牙龈与牙齿的结合受到破坏而出现牙周袋, 牙槽骨吸收和牙齿逐渐松动, 它是导致成年人牙齿丧失的主要原因[2-4].第三次全国口腔健康流行病学调查数据显示, 我国80%
微生物感染是牙周炎形成的关键因素.牙龈卟啉单胞菌(Porphyromonas gingivalis)作为95%以上慢性牙周炎病变区和活动部位的主要优势菌群, 也是口腔主要固有菌群之一[6].母鸡经某种微生物免疫后, 能够产生针对该微生物免疫的特异性抗体, 而鸡蛋黄对抗体有浓缩、聚集作用, 使其不断聚集在鸡蛋黄中[7], 通过收集免疫后母鸡鸡蛋, 能够提取蛋黄中的抗体称为卵黄蛋白(IgY).该种免疫球蛋白经过实验证实为无急慢性毒副作用的安全无毒性类物质[8].研究发现IgY在体外有抗慢性牙周炎的主要致病菌P. gingivalis的作用[9], 可通过结合P. gingivalis膜外蛋白, 抑制其共聚活性[10]和凝血活性[11].
本实验采用牙龈卟啉单胞菌诱导建立大鼠牙周病模型, 从牙龈指数、菌斑指数、探诊出血、IL-6含量、TNF-
P. gingivalis(ATCC33277, 美国模式培养物保藏所, 美国), 营养肉汤培养基(青岛海博生物), 非特异性IgY和特异性IgY(效价1:25 600, 360 mmol/L由上海市美加净日化有限公司提供), 其他分析纯试剂均采购于国药集团化学试剂有限公司(上海).
1.2 菌液制备P. gingivalis接种于营养肉汤培养基中, 在37 ℃厌氧条件下培养2
SPF级SD大鼠, 26只, 雄性, 体重(200
利用随机书目表将建模成功的24只大鼠随机分成3组, 每组各8只.第一组使用非特异性IgY做对照; 第二组为高剂量IgY组, 使用360 mmol/L IgY溶液; 第三组为低剂量IgY组, 使用3.6 mmol/L IgY溶液.所有试剂用0.22 mm孔径的滤菌膜滤菌后使用, 每天给药1次, 采用一次性注射器口腔内涂抹0.2 mL.
1.5 牙周炎治疗效果评价给药第0, 7, 14, 21, 28 d采用探针检测并记录牙龈指数、菌斑指数和探诊出血指数, 采用ELISA试剂盒(南京建成生物工程研究所)测定血液中IL-6和TNF-
实验数据以
建模28 d, 肉眼观察26只大鼠, 可见牙龈有明显的红肿, 第二磨牙有软垢附着并伴有自动出血症状, 大鼠的平均牙龈指数为3, 菌斑指数为3, 探诊出血指数为3.处死2只大鼠观察, 结果如图 1所示.上方为X-射线影像; 下方左边为牙周组织; 右边为牙槽骨; 图中白色箭头表示磨牙之间的齿间距; 黑色箭头指示炎性细胞浸润; *表示釉牙骨质界(cemento-enamel junction, CEJ). X射线影像显示牙周炎大鼠上颌第二磨牙与相邻牙齿之间有较大缝隙, 并且牙齿与牙槽间隙明显, 可能是大鼠形成牙周袋造成的; 病理切片显示牙周纤维有大量炎症细胞浸润, 胶原纤维束排列紊乱, 同时伴有牙槽骨吸收, 因此判定为造模成功[13].
|
注:白色箭头表示磨牙之间的齿间距; 黑色箭头指示炎性细胞浸涧; *表示釉牙骨质界
图 1 牙周炎大鼠上颌牙周组织X-射线影像和组织病理学观察HE |
GI、PI和BOP的基线均为3, 经过不同剂量IgY给药4周后, 各组GI、PI和BOP均有所下降(见图 2), 但治疗组显著低于对照组(
|
图 2 牙龈指数、菌斑指数和探诊出血指数变化 Fig.2 Changes in gingival index (GI), plaque index (PI), and bleeding on probing (BOP) |
ELISA检测结果显示(见图 3), 对照组血液中IL-6和TNF-
|
图 3 L-6和TNF- |
给药4周后, 大鼠上颌牙周组织的X-射线影像如图 4.左边为对照组; 中间为高剂量IgY组; 右边为低剂量IgY组; 白色箭头表示磨牙之间的齿间距.与对照组相比, 高剂量IgY组牙齿排列紧密, 牙齿与牙槽贴合紧密; 低剂量IgY组大鼠第二磨牙与相邻磨牙间隙明显减小, 牙齿与牙槽缝隙减小.表明IgY给药可明显改善牙周炎大鼠牙间隙以及牙齿与牙槽缝隙.
|
注:白色箭头表示磨牙之间的齿间距 图 4 大鼠上颌牙周组织的X-射线影像 Fig.4 X-ray of periodontium in a rat upper jaw |
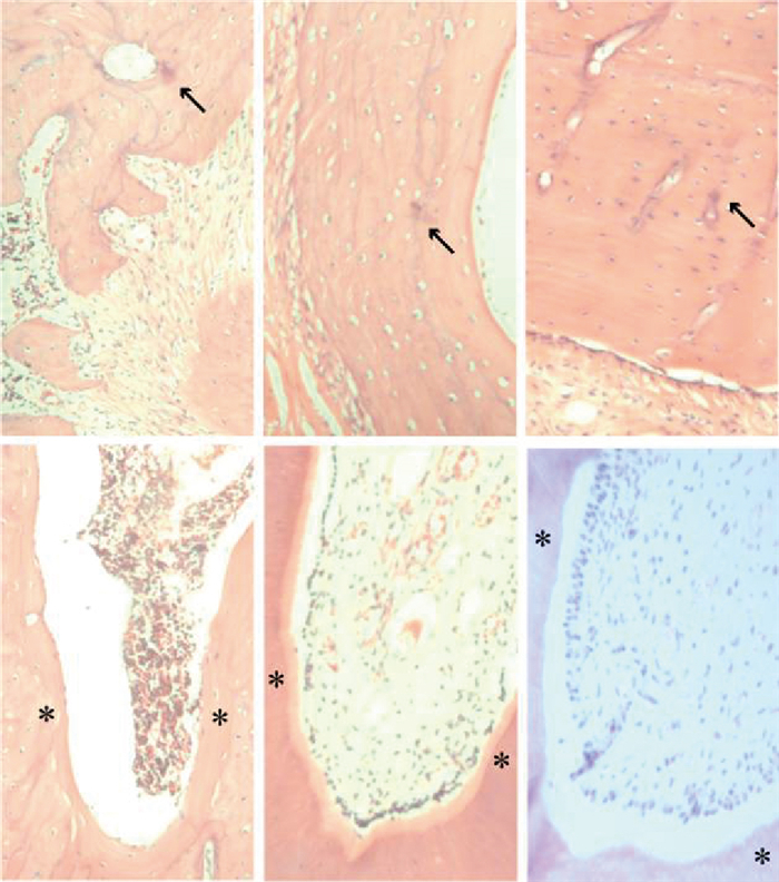
HE染色观察大鼠牙周组织和牙槽骨吸收情况见图 5.上方为牙周组织病理切片; 下方为牙槽骨病理切片; 左边为对照组; 中间为高剂量IgY组; 右边为低剂量IgY组; 箭头指示炎性细胞浸润; *表示釉牙骨质界(cemento-enamel junction, CEJ).对照组牙周纤维变性、溶解, 排列紊乱, 有大量的炎细胞浸润, 牙槽骨边缘可见到明显的骨吸收陷窝, 牙槽嵴顶高度降低. IgY给药4周后, 组织形态学明显改善, 高剂量IgY组牙周纤维排列整齐, 极少量炎细胞浸润, 牙槽嵴无吸收, 牙槽骨骨质有所增加; 低剂量IgY组牙周纤维排列较整齐, 少量炎细胞浸润, 牙槽嵴轻微吸收, 牙槽骨骨质有所增加.表明IgY给药4周后可明显改善大鼠牙周炎的牙周组织形态学情况.
|
注:箭头指示炎性细胞浸涧; *表示釉牙骨质界
图 5 大鼠上颌牙周组织的组织形态学观察HE |
IgY是卵生动物主要的小分子免疫球蛋白, 在疾病的防治中有着比哺乳动物IgG更大的优势[14], 从而被称为一种新生代抗体. IgY具有安全有效、制备简便等优势, 运用其制备药剂对牙周病的防治有广泛的临床应用前景[15].研究表明, IgY通过与S. moorei菌体的特异性结合, 可降低细菌的吸附或侵染能力[16], 在体外实验中可显著抑制P. gingivalis的生长繁殖[17], 并且IgY牙膏对牙龈炎和菌斑控制有显著作用[20].
牙周炎是一类牙周组织的慢性病理损害, 表现为病原菌与宿主相互作用所导致的局部剧烈的炎症反应[18], 这种剧烈的炎症反应导致局部病灶的迁延不愈和牙周组织的崩解, 表现为牙槽骨吸收、牙龈退缩、牙周袋形成[19].牙龈卟啉单胞菌(P. gingivalis)、中间普氏菌(Prevotella intermedia)、具核梭杆菌(Fusobacterium nucleatum)等革兰氏阴性厌养菌是牙周炎形成的主要致病菌, 盐酸米诺环素[20]、盐酸小檗碱[21]等光谱抗生素可缓解P. gingivalis导致的大鼠牙周炎.
多数研究采用GI、PI、BOP和组织学观察共同评价给药后牙周炎的治疗效果[22-25], 本文增加X-射线指标, 更加有力地佐证牙周炎模型的建立及其给药后缓解效果.造模成功后, GI、PI和BOP指数均为最高值, X-射线影像显示相邻磨牙间隙增大, 牙齿与牙槽缝隙明显, 组织学观察牙周纤维有大量炎性细胞浸润, 胶原纤维束排列紊乱, 牙槽骨吸收明显.经过4周口腔涂抹IgY后, GI、PI和BOP指标明显降低, 相邻磨牙间隙以及牙齿与牙槽缝隙明显减小, 牙周纤维排列较整齐, 少量炎细胞浸润, 牙槽嵴轻微吸收, 牙槽骨骨质有所增加.
宿主toll样受体(toll-like receptors, TLRs)可识别牙周病原微生物, 引起下游信号TLR-2和TLR-4的激活, 可活化MyD-88依赖和非MyD-88依赖两条信号通路, 增加MAPK磷酸化, 继而引起NF-
综上所述, 特异性IgY能够缓解牙周炎大鼠牙周组织病变, 降低IL-6和TNF-
| [1] |
孟焕新. 牙周病学[M]. 3版. 北京: 人民卫生出版社, 2008: 100-101.
|
| [2] |
SILVA N, ABUSLEME L, BRAVO D, et al. Host response mechanisms in periodontal diseases[J]. Journal of Applied Oral Science, 2015, 23(3): 329-355. DOI:10.1590/1678-775720140259 |
| [3] |
HAJISHENGALLISA G. Immunomicrobial pathogenesis of periodontitis:keystones, pathobionts, and host response[J]. Trends in Immunology, 2014, 35(1): 3-11. DOI:10.1016/j.it.2013.09.001 |
| [4] |
HAJISHENGALLISA G, MAEKAWAA T, ABE T, et al. Complement involvement in periodontitis:Molecular mechanisms and rational therapeutic approaches[J]. Advances in Experimental Medicine and Biology, 2015, 865: 57-74. DOI:10.1007/978-3-319-18603-0 |
| [5] |
齐小秋. 第三次全国口腔健康流行病学调查报告[M]. 北京: 人民卫生出版社,, 2008: 78-82.
|
| [6] |
KE XJ, LEI L, LI H, et al. Manipulation of necroptosis by Porphyromonas gingivalis inperiodontitis development[J]. Molecular Immunology, 2016, 77: 8-13. DOI:10.1016/j.molimm.2016.07.010 |
| [7] |
MULLER S, SCHUBERT A, ZAJAC J, et al. IgY antibodies in human nutrition for disease prevention[J]. Nutrition Journal, 2015, 14: 109. DOI:10.1186/s12937-015-0067-3 |
| [8] |
江千舟, 樊明文, 李宇红, 等. 鸡蛋黄抗体IgY的急、慢性毒性实验[J]. 牙体牙髓牙周病学杂志, 2001, 11(6): 389-391. DOI:10.3969/j.issn.1005-2593.2001.06.013 |
| [9] |
YOKOYAMA K, SUGANO N, RAHMAN AK, et al. Activity of anti-Porphyromonas gingivalis egg yolk antibody against gingipains in vitro[J]. Oral Microbiology and immunology, 2007, 22(5): 352-355. DOI:10.1111/omi.2007.22.issue-5 |
| [10] |
HAMAJIMA S, MARUYAMA M, HIJIYA T, et al. Egg yolk-derived immunoglobulin (IgY) against Porphyromonas gingivalis 40-kDa outer membrane protein inhibits coaggregation activity[J]. Archives of Oral Biology, 2007, 52: 697-704. DOI:10.1016/j.archoralbio.2006.12.013 |
| [11] |
TEZUKA A, HAMAJIMA S, HATTA H, et al. Inhibition of Porphyromonas gingivalis hemagglutinating activity by IgY against a truncated HagA[J]. Journal of Oral Science, 2006, 48(4): 227-232. DOI:10.2334/josnusd.48.227 |
| [12] |
HUANG S G, HUANG Q L, HUANG B, et al. The effect of Scutellaria baicalensis Georgi on immune response in mouse model of experimental periodontitis[J]. Journal of Dental Sciences, 2013, 8(4): 405-411. DOI:10.1016/j.jds.2013.03.008 |
| [13] |
孙继军, 王栋, 王爱芹. 实验性牙周炎大鼠模型的建立[J]. 中国组织工程研究, 2012, 16(37): 6867-6870. DOI:10.3969/j.issn.2095-4344.2012.37.006 |
| [14] |
SHOFIQUR R, SA V N, FAUSTINO C, et al. Oral passive IgY based immune therapeutics[J]. Human Vaccines & Immunotherapeutics, 2013, 9(5): 1039-1048. |
| [15] |
姜大川, 徐燕. 抗牙龈卟啉单胞菌蛋黄免疫球蛋白免疫防治牙周炎[J]. 国际口腔医学杂志?, 2009, 36(6): 682-684. |
| [16] |
LI X Y, LIU H, XU Y P, et al. Chicken egg yolk antibody (IgY) controls Solobacterium moorei under in vitro and in vivo conditions[J]. Applied Biochemistry and Biotechnology, 2012, 168(6): 1448-1458. DOI:10.1007/s12010-012-9869-3 |
| [17] |
王芳, 周喻, 许啸晨, 等. 基于Box Behnken响应面法优化口腔模拟环境IgY抑制牙龈卟啉单胞菌增殖[J]. 微生物学通报, 2017, 44(11): 2689-2697. |
| [18] |
JAIN S, DARYEAU R P. Contribution of porphyromonas gingivalis lipopolysaccharide to periodontitis[J]. Periodontology 2000, 2010, 54(1): 53-70. DOI:10.1111/j.1600-0757.2009.00333.x |
| [19] |
HAJISHENGALLIS G. Periodontitis:From microbial immune subversion to systemic inflammation[J]. Nature Reviews Immunology, 2015, 15(1): 30-44. DOI:10.1038/nri3785 |
| [20] |
刘迪, 杨丕山, 胡德渝, 等. 盐酸米诺环素脂质体控释凝胶改善大鼠实验性牙周炎的作用评价[J]. 华西口腔医学杂志, 2013, 31(6): 592-596. |
| [21] |
孙俊毅, 朱春晖, 刘瑾, 等. 盐酸小檗碱调节大鼠实验性牙周炎牙龈组织MMPs/TIMP表达变化及其机制[J]. 西安交通大学学报(医学版), 2016, 37(4): 551-555. |
| [22] |
DE ARAÚJO A A, DE CASTRO BRITO G A, DE SOUZA ARAÚJO L, et al. Effects of metformin on inflammation, oxidative stress, and bone loss in a rat model of periodontitis[J]. Plos One, 2017, 12(8): e0183506. DOI:10.1371/journal.pone.0183506 |
| [23] |
刘赟, 王丹, 甄玉红, 等. 中间普氏菌特异性卵黄抗体治疗大鼠牙龈炎的研究[J]. 口腔医学研究, 2012, 28(5): 413-416. |
| [24] |
HOU Y Y, ZHEN Y H, WANG D, et al. Protective effect of an egg yolk-derived immunoglobulin (IgY) against Prevotella intermedia-mediated gingivitis[J]. Journal of Applied Microbiology, 2013, 116: 1020-1027. |
| [25] |
吴亚菲, 赵川江, 张静仪, 等. 牙龈沟液中白细胞介素-6含量与牙周炎关系的研究[J]. 华西医大学报, 2000, 31(4): 494-496. |
| [26] |
吴婷.冠心病伴牙周炎患者血脂、血清炎症因子的相关研究[D].济南: 山东大学, 2010.
|


